Man attacked with a plank
Posted on
June 1,2024
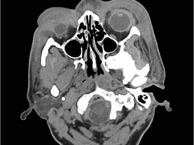
This was a 62-year-old man with type 2 diabetes who was assaulted with a wooden plank and rusty nail on his frontal scalp area sustaining a laceration 3 days prior. The laceration was sutured and a head injury was ruled out with a CT scan.

